地址
北京市海淀区紫竹院路81号
北方地产大厦2层208
24小时热线
13910332985
地址
北京市海淀区紫竹院路81号
北方地产大厦2层208
24小时热线
13910332985


9月11日,由中国信息通信研究院联合中国通信标准化协会、中国互联网协会主办的第三届“华彩杯”算力创新应用大赛医疗专题赛颁奖仪式在北京国际会议中心隆重召开,中国人民解放军总医院协同中国移动通信,及北京思创贯宇公司联合申报的创新项目“多模态外周介入专科智能体” ,在经过解放军总医院段峰主任精彩汇报答辩后,于最终入选角逐者中脱颖而出,喜获一等奖。




该项目以外周介入多模态数据库为基础,搭建算力平台并构建外周介入多模态智能体,通过整合多模态数据、算力资源及人工智能技术形成外周介入全周期智能化诊疗体系,实现术前评估、术中监控及术后随访全流程精准闭环,同时围绕临床需求打造影像辅助诊断、手术规划优化等智能应用模块,目前已在301等医院试点落地,不仅系统性破解行业“诊疗效率低、资源配置不均、智能化水平不足、基层能力薄弱”等常见痛点,更突破传统经验依赖,显著提升诊疗效率和诊疗体验,深度驱动外周介入医疗数智化产业升级,在促进我国外周介入领域持续发展和提升国际影响等方面意义深远。


整个智能体架构依照算力、模型数据和应用层逐层搭建。首先在算力层整合通用算力、大模型算力及存储网络资源,构建弹性共享资源池,提供算力和存储保障,并通过无缝对接医院HIS、LIS、EMR、PACS等系统整合外周介入领域的多模态专业数据,实现门诊、病床、手术室等多源数据的统一采集、清洗、转换与归档,构建高质量的专科全景大数据库及质控管理平台,对数据进行结构化管理,为智能辅助决策与专科标准化建设提供地基基础。

中国移动的九天医疗大模型相当于整个智能体的能力基座,为底层应用提供技术支撑。依托该模型底座与知识库引擎,采用Graph R1技术框架构建强化学习模型,结合外周介入的专科数据集从而训练外周介入专科大模型,成为智能体的“核心大脑”。同时,借助专科大模型的语义理解与知识推理能力开发智能化诊疗工具,并围绕临床需求打造一系列智能应用模块,实现技术能力向临床场景的深度转化。

凭借思创贯宇长期以来在多模态影像应用、诊疗一体化、围术期管理、流程质控等软件开发优势及多年丰富经验,通过外周介入专科大模型赋能上层AI+应用,目前已实现助力外周介入全过程的智能规划、实时辅助及效果评估等智能应用,可智慧调度手术资源,推动医疗资源均衡优化,不断精准切入并解决外周介入临床痛点。


比如目前常见的肝癌核心术式之一TACE化疗栓塞术治疗,其疗效精准性与安全性长期依赖临床经验判断,而今通过多模态影像评估的智能模块应用,结合介入造影灌注影像与临床数据就可量化分析栓塞前后肿瘤体积的变化、血供变化及组织灌注情况,辅助疗效评估和肝功能预测,给出临床最佳栓塞剂量推荐,显著提升TACE疗效与安全性。

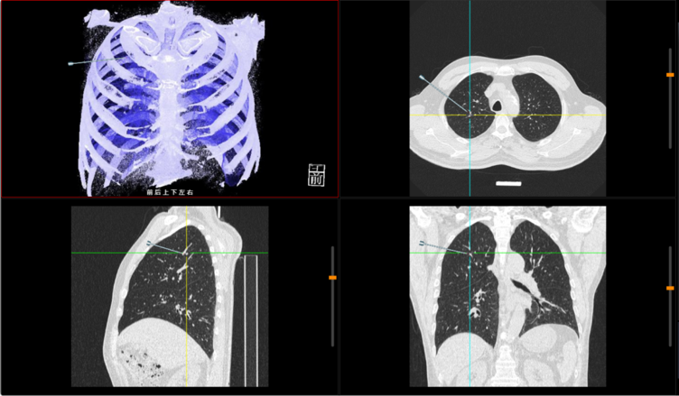
对于非血管通路的介入治疗,智能体同样发挥显著作用。以肺癌穿刺活检与消融为典型场景,智能体可基于多模态影像与深度学习算法实现肿瘤智能检测、多期随访及穿刺路径规划,有效提升病灶早期检出率与手术精准度。


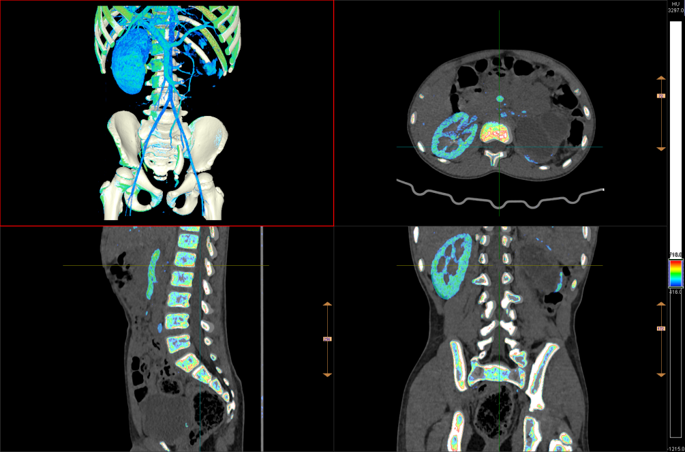
多模态融合手术规划与术后评估方案能支持多种设备类型、多序列及功能像与解剖像融合,提供全面解剖与代谢信息,精准定位病灶,继而完成三维重建、手术路径模拟及入路优化设计,评估血管、神经等重要脏器组织的潜在风险,提升复杂病例手术精度。


此外,利用该智能体进行手术排程,可实现全程自动化手术申请、预约及资源分配,并能结合历史数据与AI算法预测手术时长,动态调整排班计划,持续优化资源调度,减少患者等待时间,提升手术室周转效率,降低运营成本。


在集成患者多维度数据的基础上,通过大模型提炼专家经验并转化为标准系统能力,智能体还可对外周介入手术进行全周期多阶段预测、提示及预警,从术前精准规划、风险预判,术中实时监控、风险预警,到术后风险评估与随访优化管理,为手术提供全周期智能辅助诊疗方案;同时更可把手术经验传递到下级医疗机构,帮助基层医生快速掌握手术要点,及时识别风险,在推动同质化管理的同时让更多患者受益。
国务院在近期发布的《关于深入实施“人工智能+”行动的意见》中指出:推动人工智能与经济社会各行业各领域广泛深度融合,重塑人类生产生活范式,促进生产力革命性跃迁和生产关系深层次变革。思创积极响应国家战略部署,未来将充分发挥深耕行业的先发优势及创新能力,持续深入临床合作产研合作,为加速大模型智能体应用落地和创新成果转化,促进智慧医疗科技创新的能级跃升而锐意向前。